Castlemanova choroba – možná příčina hyperplazie lymfatických uzlin
Lymfadenopatie nejsou ojedinělým nálezem, ale ne vždy se podaří odhalit jejich příčinu. V této souvislosti je vhodné myslet na Castlemanovu chorobu, která je v České republice pravděpodobně poddiagnostikovaná. Jde o vzácné onemocnění s variabilním průběhem od subklinických a benigních forem až po život ohrožující stavy a s variabilním histopatologickým obrazem. Na tomto místě přinášíme souhrn současných poznatků, které problematiku Castlemanovy choroby přibližují nejširší lékařské veřejnosti.
O Castlemanově chorobě (CD) bychom asi nemluvili, přestože tuto chorobu popsal patolog Benjamin Castleman již v roce 1954, tedy před osmašedesáti lety, nebýt doktora Davida Fajgenbauma. Jako medik ve třetím ročníku poznal CD na vlastní kůži. Při první atace idiopatické multicentrické CD téměř zemřel, ale agresivní chemoterapií a imunomodulací se podařilo onemocnění zvládnout.1
Castlemanova choroba je termín pro reaktivní lymfocytární a plazmocytární proliferaci, která se vyskytuje buď ve formě lokalizované, unicentrické (UCD; obvykle bez systémových příznaků), nebo ve formě generalizované, multicentrické (MCD; obvykle se systémovými příznaky). Multicentrická forma může být spojena s infekcí virem Kaposiho sarkomu neboli herpesvirem 8 (HHV‑8), a tím pádem je HHV‑8 etiologickým činitelem. V případě HHV‑8 a HIV negativity hovoříme o idiopatické formě multicentrické Castlemanovy nemoci (iMCD).2
Kolik pacientů s Castlemanovou chorobou žije v ČR?
Pro Českou republiku nejsou epidemiologická data k dispozici. Incidence unicentrické formy CD (UCD) činí v USA 16–19 případů na milion obyvatel, multicentrické formy (MCD) je v USA pět případů na milion obyvatel. Kdyby tomu bylo podobně i v ČR, pak by u nás ročně mělo být diagnostikováno 160–190 případů UCD a 50 případů MCD.3
K tomu profesor Adam (Interní hematologická a onkologická klinika, Masarykova Univerzita a FN Brno) dodává: „Protože prognóza této nemoci je příznivá, měla by být prevalence Castlemanovy choroby v ČR poměrně vysoká a mohla by být až desetkrát vyšší než incidence. Je tomu skutečně tak, nebo pacienti nejsou správně diagnostikováni?“

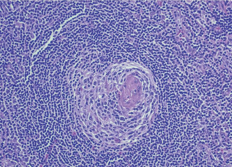
Zárodečné centrum s cibulovitým pláštěm (onion skinning). Foto iStock
Které odbornosti se mohou s pacienty s CD potkat?
Setkání s unicentrickou formou popisují lékaři všech odborností. U této formy CD dominují lokální příznaky (pokud jsou vůbec přítomny). Ve většině případů tedy jde o příznaky patologické expanze v mediastinu či v břiše, ale jsou možné i další lokalizace.2
V literatuře lze najít diskuse o původu UCD, u níž někteří autoři zmiňují i možnou maligní etiologii.4
V převážné většině případů UCD lze považovat chirurgickou léčbu za kurativní. Pouze pokud je ložisko příliš velké pro operaci, doporučuje se neoadjuvantní léčba přípravkem s anti-CD20 působením (rituximab), respektive při jejím neúspěchu je na zvážení radioterapie.5
Které příznaky mohou budit podezření na iMCD?
Za hlavní příčinu iMCD se považuje nadprodukce interleukinu 6 (IL‑6), která vede ve svém důsledku k systémové zánětlivé reakci provázené anémií chronických chorob, hypoalbuminemií, angioneogenezí a zvýšenou vaskulární permeabilitou (cestou VEGF) a celkovými symptomy: neinfekčními subfebriliemi či febriliemi, úbytkem hmotnosti, nočním pocením, patologickou únavou.
V laboratorních nálezech bývá zjišťována:2
- výšená hodnota CRP a dalších zánětlivých markerů (FW, feritinu aj.),
- anémie, zvýšený počet trombocytů a zvýšená koncentrace fibrinogenu,
- zvýšená koncentrace celkové bílkoviny,
- zvýšená koncentrace polyklonálních imunoglobulinů,
- v kostní dřeni může být přítomno hraniční zmnožení polyklonálních plazmocytů.
Tyto často přítomné zánětlivé symptomy iMCD mohou být doprovázeny dalšími imunitně mediovanými projevy:
- autoimunitní projevy – nejčastěji autoimunitní cytopenie či hemofagocytóza,
- poškození ledvin – endotelióza v 60 %, AA amyloidóza ve 20 %,
- souběh s POEMS syndromem – periferní neuropatie,
- nekardiální dušnost a retence tekutin – ascites, plicní výpotek, plicní abnormality typu infiltrátů, restriktivní plicní poruchy, intersticiální pneumonitidy či dokonce bronchiolitis obliterans,
- vaskulitidy a jimi způsobené mozkové příhody,
- kožní změny včetně hyperpigmentace, kožní rash, tvorba kožních hemangiomů,
- zcela výjimečně průjmy a hmotnostní úbytek,
- dysfunkce jater a ledvin,
- (POEMS = polyneuropatie, organomegalie, endokrinní poruchy, monoklonální gamapatie a kožní léze).
Imunitně mediované projevy iMCD jsou formou popisů kazuistik dokumentovány i v české a slovenské literatuře. Z popsaných imunitně mediovaných případů je zřejmé, že v této oblasti může mít nemoc opravdu velmi různorodé příznaky.6–9
Jak iMCD probíhá?
Choroba mívá individuální průběh od chronicky probíhajících, jen mírně agresivních forem „flu‑like“ až po značně agresivní formy „sepsis‑like“, které jsou méně četné. Velmi agresivní případy jsou spojeny s anasarkou s multiorgánovým selháním a vedou často ke smrti.
Klinický průběh má čtyři formy:3
- opakované relapsy a remise (flu‑like),
- stabilní perzistující choroba,
- progredující fatální choroba (sepsis‑like),
- transformace v maligní lymfom.
Jak pomůže histologický nález v diagnostice CD?
Histopatologický obraz (HP) zvětšených lymfatických uzlin je charakteristický, ale není specifický pro CD. Podobné nebo dokonce identické změny jsou popsány prakticky u všech pacientů se zvětšenými lymfatickými uzlinami při revmatoidní artritidě, přibližně u 30 % pacientů se systémovým lupus erythematodes a u mnoha dalších zánětlivých a infekčních onemocnění. Konečná diagnóza vyžaduje srovnání mezi HP nálezy, klinickými příznaky a výsledky laboratorních vyšetření při současném vyloučení zánětu při autoimunitních a neoplastických onemocněních.
Existují čtyři HP varianty CD:10
- hyalinně‑vaskulární,
- plazmocelulární,
- smíšená,
- plazmablastická.
MUDr. Kateřina Kamarádová, Ph.D. (Fingerlandův ústav patologie, FN Hradec Králové) v ústním sdělení předneseném na II. českém hematologickém a transfuziologickém sjezdu v září 2021 v Olomouci uvedla, že z pohledu patologa není Castlemanova choroba jedním onemocněním, ale skupinou lézí s charakteristickou morfologií a různými klinicko‑patologickými podtypy, etiologií a projevy.
K obecným histologickým znakům patří regresivní/atretická zárodečná centra s cibulovitými plášti (onion skinning), zdvojení zárodečných center (twinning), prominující sítě folikulárních dendritických buněk, interfolikulární proliferace postkapilárních venul s vysokým endotelem (high endothelial venules) a penetrace do zárodečného centra (lollipop sign), hyperplastická zárodečná centra a plachtovité interfolikulární infiltráty plazmocytů.
Podle slov MUDr. Kamarádové nejde o „jednoduchou diagnózu“, zdůraznila význam opakované komunikace patologa s klinikem pro doplňování klinických údajů jak v průběhu diagnostického algoritmu, tak v čase.
Terapie
Jak z výše uvedeného vyplývá, měla by být nejen diagnostika, ale i léčba svěřena do rukou zkušených odborníků. Mezinárodní doporučení pro léčbu CD z roku 2020 uvádějí, že léčba by měla probíhat ve specializovaném centru, které má zkušenosti jak s histopatologickou diagnostikou, tak s léčebnými režimy. Kombinované chemoterapeutické režimy je vhodné ponechat pro pacienty, u nichž iMCD progreduje při použití nových léků (siltuximab, rituximab či tocilizumab, případně imunomodulační léčby jako u myelomů). Tento náhled je založen na expertním názoru, protože pro nízkou incidenci CD nebyly prováděny srovnávací klinické studie vyjma klinické studie se siltuximabem, který jako jediný prokázal v randomizované klinické studii efekt.5
Zpracovala MUDr. Marta Šimůnková, Medical Tribune CZ
Literatura
- Fajgenbaum D. Chasing My Cure. Random House 2019.
- Adam Z, et al. Idiopatická multicentrická Castlemanova choroba: diagnostika a léčba v roce 2021. Acta Medicinae 2021;11:64–68.
- Adam Z, et al. Multicentrická Castlemanova choroba. Příznaky, diagnostika a léčba. Vnitř Lék 2022;68:41–53.
- Chang KC, Wang YC, Hung LY, et al. Monoclonality and cytogenetic abnormalities in hyaline vascular Castleman disease. Mod Pathol 2014;27:823–831.
- Van Rhee F, Oksenhendler E, Srkalovic G, et al. International evidence‑based consensus diagnostic and treatment guidelines for unicentric Castleman disease. Blood Adv 2020;4:6039–6050.
- Jakubíková M, Piťha J, Latta J, et al. Myasthenia gravis, Castleman disease, pemphigus, and anti‑phospholipid syndrome Muscle and nerve 2013;47:447–451.
- Král Z, Adam Z, Volfová P, et al. Castlemanova nemoc, jedna z příčin chronické systémové zánětlivé reakce, někdy i retence tekutin, vaskulitid a poruch imunity – Mezinárodní diagnostická kritéria z roku 2017. Transfuze Hematol Dnes 2020;26:92–100.
- Cibičková Ľ, Soukup T, Bradna P, et al. Asociace revmatoidní artritidy a Castlemanovy choroby. Česká revmatologie 2005;13:106–109.
- Sun DP, Chen WM, Wang L, et al. Clinical characteristics and immunological abnormalities of Castleman disease complicated with autoimmune diseases. J Cancer Res Clin Oncol 2021;147:2107–2115.
- Szturz P, Adam Z, Doubek M. www.vzacne‑diagnozy.cz