Přeskočit na obsah

Dětské plochonoží – současný stav poznání a metody léčby

Dětské plochonoží či též pes planovalgus, anglicky flat foot, je jednou z nejčastějších diagnóz u pacientů dětského a dorostového věku navštěvujících ortopedické ambulance. Doposud není jednotný postup v diagnostice a terapii na toto téma. Můžeme se setkat s výraznou diskrepancí mezi objektivním klinickým nálezem a subjektivními stesky pacienta nebo s obavou rodičů o kosmetický vzhled nohou jejich dítěte. Léty vžité předepisování ortopedických vložek a striktní omezování fyzické zátěže u pacientů asymptomatických či s nevýrazným klinickým nálezem nemá větší opodstatnění. Naopak otálení s včasným chirurgickým zákrokem u pacientů s progredujícím postižením nebo u těch nereagujících na konzervativní terapii může do budoucna způsobit výrazné obtíže. V níže uvedeném textu bude přiblížen vhled do problematiky dětského plochonoží, její diagnostiky a možností terapie. Důležitou roli v celkovém algoritmu péče o tyto pacienty hraje mezioborová spolupráce s pediatrem, dětským ortopedem, fyzioterapeutem, případně dětským neurologem a v neposlední řadě s pacientem a jeho rodiči.

Obecné informace

Definice ploché nohy

Plochá noha v dětském věku (pes planovalgus) je stav popisující oploštění podélné klenby nohy. Podélná klenba se postupně utváří během prvních deseti let života. U dětí ve věku do tří let vídáme „dětskou baculatost nohy“, která je způsobena zmnožením tukového polštáře nohy, a neměli bychom proto nález označovat jako plochonoží.1

Morfologický podklad klenby nohy

Na tvorbě podélné klenby se ve statické fázi podílejí kosti, klouby a vazy nohy. Kosti vytvářejí dva oblouky, mediální (dynamický), který je tvořen kostí hlezenní, loďkovou, kostmi klínovými a I. až III. paprskem; a laterální (statický), tvořený kostí patní, krychlovou a IV. až V. paprskem.2 Podíl vlivu svalů nohy na tvorbu klenby při statické fázi nebyl elektromyograficky prokázán. Vliv svalů se uplatňuje při udržování rovnováhy během dynamické zátěže, například při chůzi po nerovném terénu.3,4

Rozdělení dle etiologie

U dětí se může plochá noha vyskytovat vrozeně nebo může být získaná. Vrozená plochá noha může být flexibilní nebo rigidní, jako je tomu v případě vrozeného strmého talu či tarzální koalice. Získané plochonoží může být způsobeno chabostí vazů, např. při Ehlersově–Danlosově syndromu, Marfanově syndromu; svalovou slabostí např. při dětské mozkové obrně, poliomyelitidě. Mezi další příčiny získané ploché nohy můžeme řadit kloubní postižení, např. při revmatoidní artritidě. Dále poúrazové stavy, kontraktury, os tibiale externum a tumory. V dalším textu se budeme zabývat zejména flexibilní plochou nohou.5

Dětská flexibilní plochá noha

Etiologie a patogeneze

Při dětské flexibilní ploché noze dochází vlivem zvýšené laxity vazů k oploštění mediální podélné klenby nohy, což se projevuje valgózním postavením paty, vnitřní rotací osy hlezenního kloubu, poklesnutím hlavice hlezenní kosti mediálně a plantárně a abdukcí přednoží.6 Přesná příčina není známa, postižení bývá velmi často familiární. Ke vzniku může významně přispívat obezita, dále také dlouhodobé nošení nevhodné obuvi, malnutrice a dlouhodobý pobyt na lůžku.7,8 U typické flexibilní ploché nohy dochází ke korekci podélné klenby při vyloučení statické zátěže nohy, k úpravě by též mělo dojít při plantární flexi nohy. Pokud nedochází ke korekci klenby, je nutné pomýšlet na rigidní plochou nohu či na další příčiny plochonoží (např. neurologické etiologie). V současné době není přijata jednotná klinická ani radiologická definice flexibilní ploché nohy.1,5,9

Anamnéza

Nejčastěji přichází pacient k dětsko‑ortopedickému vyšetření na doporučení praktického lékaře pro děti a dorost kvůli deformitě nohy zjištěné při preventivní prohlídce nebo na žádost rodičů pozorujících tuto odchylku. V některých případech bývá popisována také alterace stereotypu chůze. Většina těchto dětí je jinak asymptomatická. Některé děti si však mohou stěžovat na pocit unavených nohou při větší zátěži či na bolest, která je patrná zejména při vnitřním okraji nohy a může se šířit na přední plochu bérce. U pacientů nepozorujeme známky zánětu, otoky a omezení hybnosti s výjimkou omezení dorziflexe při možné kontraktuře úponů lýtkového svalu.

Fyzikální vyšetření

Obr. 1 Valgozita pat a vyklenutí mediálních kotníků u pacienta s plochonožímPacienta vyšetřujeme vysvlečeného do spodního prádla. Při stoji pozorujeme valgozitu paty (pata směřuje zevně), vyklenutí mediálního kotníku, oploštění podélné klenby a abdukci přednoží (obr. 1). Flexibilitu nohy testujeme stojem na špičkách, při kterém dochází k úpravě klenby, paty přecházejí do varozity (vtáčejí se dovnitř). Dále vyšetřujeme hybnost nohy vleže. Při omezení dorziflexe hlezenního kloubu při extendované dolní končetině pomýšlíme na zkrácení úponů lýtkového svalu.10 Provádíme též dorziflexi hlezna při flexi v koleni 90°, tzv. Silfverskiöldův test. V případě nemožnosti dorziflexe hlezna při extendované i flektované dolní končetině se jedná o kontrakturu Achillovy šlachy. Pokud je pacient schopen dorziflexe při flexi v kolenním kloubu, ale ne při extendovaném koleni, tak se jedná o kontrakturu aponeurózy mm. gastrocnemii, tzn. Silfverskiöldův test je pozitivní.11 V rámci dětsko‑ortopedického vyšetření je vždy nutné vyšetřit pacienta komplexně a posoudit tak například i stav osového skeletu a velkých kloubů. Patologické odchylky těchto modalit mohou mít významný vliv na rozvoj posturálního plochonoží.

Plantoskopické vyšetření

Obr. 2 Kombinace klinického nálezu s plantoskopickým zobrazením.Klinické vyšetření je obvykle vhodné doplnit dalšími diagnostickými modalitami, jako je zobrazení otisku chodidla v zátěži a tím zobrazení klenby nohy. Dříve hojně využívané plantografické zobrazení pomocí otisku bosé nohy potřené barvou na papír (získáme tzv. plantogram) je nyní většinou nahrazeno plantoskopickým (podoskopickým) vyšetřením, které využívá odrazu polarizovaného světla v zrcadle (obr. 2). Mezi nejnovější metody patří podobarometrie, díky níž můžeme hodnotit jak statické zatížení nohy, tak i zatížení dynamické. Pacienty s neurogenním plochonožím nebo s poruchou stereotypu chůze můžeme komplexně vyšetřit v laboratoři chůze, kde získáme informace o analýze pohybu, svalové aktivitě a tlaku vyvíjeném chodidly.12

Klasifikace dle plantoskopického nálezu

Obr. 3 Klasifikace dle plantoskopického nálezu.Za zlatý standard se v našich podmínkách stále považuje klasifikace dle plantografického či plantoskopického zobrazení. V klasifikaci rozdělujeme nálezy na normální otisk nohy se založenou klenbou a dále na stupně B1 až B3. V prvním stupni (B1) je patrné rozšíření otisku reliéfu plosky, ale klenba je stále patrna. Ve druhém stupni (B2) není v zatížení klenba patrna, ale je zachována kontura chodidla. Třetí stupeň (B3) je charakterizován konvexní mediální prominencí okraje nohy bez přítomnosti klenby (obr. 3, 4).5

Zobrazovací metody

Obr. 4 Plantoskopický nález B3, již přítomna konvexní mediální prominence okraje nohy.Rentgenové zobrazení nohy by nemělo být rutinní vyšetřovací modalitou užívanou k diagnostice dětské ploché nohy a dále by nemělo být paušálně používáno u asymptomatických a mírných nálezů, které jsou bez tendence k progresi. Rentgenové snímky indikujeme buď při podezření na rigiditu (tarzální koalice, strmý talus), os tibiale externum, nebo v případě progrese nálezu či při rezistenci na terapii u vyšších stupňů plochonoží. Vždy bychom měli zhotovit bočný snímek v zatížení a předozadní projekci. Na bočném snímku v zatížení můžeme hodnotit tzv. Mearyho úhel neboli talometatarzální úhel. Při jeho konstrukci vedeme linii skrz podélnou osu talu a první metatarz. V případě normálního nálezu se jedná o jednu rovnou linii. K poklesnutí podélné klenby nohy může dojít v kloubu talonavikulárním, navikulokuneiformním nebo v obou. V takovém případě dochází k vytvoření úhlu mezi oběma liniemi. Podle velikosti úhlu můžeme rozlišit závažnost deformity mírnou (< 15°), střední (15–30°) a závažnou (> 30°). Dále můžeme měřit kalkaneární plantární sklon (calcaneal pitch). Tento úhel získáme vytvořením linie při dolní hraně kalkanea a linie spodní hrany hlavičky V. metatarzu. Při hodnotách pod 18° můžeme nohu označit jako plochou.13 Tyto měřené hodnoty nám mohou pomoci při rozhodování o způsobu terapie. Další zobrazovací metody, jako jsou výpočetní tomografie a magnetická rezonance, chápeme jako doplňkové, jejich přínos je zejména v případě verifikace tarzální koalice a organických lézí.

Terapie

Obecné principy terapie

Léčení dětské flexibilní ploché nohy je ve většině případů konzervativní. U asymptomatických a lehkých nálezů není nutné zahajovat léčbu, po domluvě s rodiči pacienta jej pouze v pravidelných intervalech sledujeme. Nenutíme děti k nošení kotníčkové obuvi s pevnou podrážkou, není opodstatněné uvolnění z tělesné výchovy ani předepsání fyzioterapie. Můžeme doporučit chůzi naboso po přírodním terénu.14 U pacientů symptomatických můžeme využít fyzioterapii, ortotické pomůcky a chirurgickou léčbu.

Fyzioterapie

U pacientů pociťujících únavu nebo bolest nohou využíváme metod fyzio­te­ra­pie k posílení a protažení svalů dy­na­micky stabilizujících klenbu. Mezi využívané cviky patří chůze po špič­kách, chůze po patách, rolování balonku pod ploskou nohy, zvedání drobných předmětů prsty nohou, dorziflexe a plantiflexe nohy, posilování m. tibialis posterior, protahování Achillovy šlachy při jejím zkrácení a další cviky posilující zevní a vnitřní svaly nohy.15–18

Ortopedické vložky

V terapii plochonoží jsou v současné době stále hojně využívány ortotické pomůcky, zejména vložky do obuvi, třebaže jednoznačné důkazy o jejich efektu chybějí. Použití vložek do bot je u asymptomatických pacientů dle současného poznání zcela zbytečné.19 Smyslem funkce vložek je podpora mediální klenby nohy a správné vedení paty.11 V případě užití vložek preferujeme jejich individuální zhotovení.

Chirurgická terapie

Při neúspěchu konzervativní terapie flexibilní ploché nohy, progresi postižení anebo omezené spolupráci pacienta je vhodné zvažovat chirurgickou terapii. Dalšími indikacemi k operační léčbě mohou být stavy způsobující rigiditu, neurologická onemocnění s projevy plochonoží a ostatní získané příčiny. Operační terapii můžeme rozdělit na výkony měkkotkáňové, kostní, kloubní a jejich kombinace.

Operace na měkkých tkáních

Principem měkkotkáňových výkonů je prodlužování či přesuny šlach. Tyto operace se zaměřují nejčastěji na prodloužení úponů m. triceps surae na základě vyhodnocení Silfverskiöldova testu. Při jeho negativitě je prováděna prolongace Achillovy šlachy, například Z‑plastikou. V případě pozitivního výsledku testu je nutné prodloužení aponeurózy mm. gastrocnemii operací dle Vulpia, Bakera či Stayera.20 Dále je možné k podpoře podélné klenby provést přesun šlachy m. tibialis anterior operací dle Younga, jejímž principem je přesun průběhu šlachy m. tibialis anterior do kanálu vytvořeného v os naviculare.21 U těžkého plochonoží je většinou nutná kombinace s kostními či kloubními výkony.

Operace na kostech

Obr. 5 Implantát vytvořený metodou 3D tisku.Z kostních výkonů máme na našem pracovišti nejlepší zkušenosti s osteotomií patní kosti dle Evanse. Při této operaci dochází z laterálního přístupu k prodloužení kalkanea klínovitou osteotomií a vložením autologního kostního štěpu odebraného buď z lopaty kosti kyčelní, nebo tibie či fibuly. Smyslem této operace je prodloužení laterálního pilíře patní kosti, redukce abdukce přednoží a jeho korekce, podpora klenby se zvýšením napětí vazů nohy a úpravou postavení paty.22–24

Kloubní operace

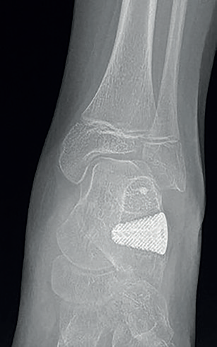
Obr. 6 RTG snímek pacienta po operaci dle Gricea s užitím 3D implantátu.Mezi kloubní výkony patří vytvoření kloubních zarážek, tzv. arthroereisis, a ztužení kloubů, arthrodesis. V léčbě plochonoží se často provádějí subtalární extraartikulární arthroereizy, při kterých je vytvořena kloubní zarážka v oblasti sinus tarsii k omezení nadměrného pohybu subtalárního kloubu a ke znovuobnovení mediální klenby nohy, příkladem může být operace dle Gricea–Greena.25,26 Jako zarážka může být použit autologní kostní štěp či implantát. Použití implantátu s sebou nese snížení operační zátěže kladené na pacienta a zkrácení délky operace, neboť odpadá nutnost odběru kostního štěpu. Na trhu existuje široké spektrum používaných implantátů, které mohou být vyrobeny z nevstřebatelného i vstřebatelného materiálu.27,28 Je možné využít i individuálně připravené implantáty a speciálně zhotovené instrumentárium. Na našem pracovišti byla provedena tato operace také s využitím implantátu vytvořeného metodou 3D tisku, na jehož vývoji jsme se podíleli. Díky 3D tisku má implantát unikátní porózní strukturu umožňující lepší prorůstání okolní kosti (osteointegraci implantátu), čímž dochází ke snížení rizika uvolnění implantátu a jeho selhání (obr. 5, 6). Artrodézy se při léčbě plochonoží u dětí používají až jako poslední řešení po selhání ostatních léčebných modalit. Jako nejefektivnější způsob ztužení kloubu se jeví trojí artrodéza nohy (déza subtalárního, talonavikulárního a kalkaneokuboidního kloubu), s tímto výkonem je však vhodné počkat do ukončení kostního růstu.29

Závěr

Problematika dětské flexibilní ploché nohy je dobře známa již desítky let, ale stále není přijat jednotný přístup k její diagnostice ani terapii. Ze současných studií jasně vyplývá, že předepisování vložek a korekčních ortéz u asymptomatických jedinců nevede ke zlepšení nálezu deformity. Proto je nezbytné rodičům vysvětlit, že řešit čistě kosmeticky nevzhledný tvar nohy u jinak bezpříznakového dítěte je zbytečně zatěžující a pro konečný vzhled nohy bez efektu. Naopak důsledná fyzioterapie u pacientů se symptomatickým plochonožím se jeví jako poměrně efektivní způsob k podpoře zlepšení postavení nohy a utváření klenby a v kombinaci s ortotickými pomůckami vede k dobrým výsledkům v rámci konzervativního léčení dětského flexibilního plochonoží. Operační terapii bychom neměli nechávat pouze jako alternativní variantu při selhání konzervativního postupu, ale měla by být indikována dostatečně včas, tedy v době, kdy k efektivní korekci deformity postačí pouze méně invazivní, a tedy pro pacienta méně zatěžující operační výkony. Neopodstatněná snaha o dodržení konzervativní terapie pokročilých nálezů může ústit v rozvoj těžkých stupňů deformity řešitelných pouze adekvátními rozsáhlými operačními výkony. Ty již nemusejí mít zcela vynikající funkční výsledek a mohou do jisté míry kompromitovat efektivitu operační léčby plochonoží v dětském věku. Do budoucna bude chirurgická léčba výrazně ovlivněna moderními technologiemi, jako je například 3D tisk, které by mohly vést k zefektivnění operativy a ke snížení její zátěže kladené na pacienta.

MUDr. Jaroslav Kraus1, MUDr. Vlasta Krausová2, MUDr. Tomáš Novotný, Ph.D., MBA1
1 Ortopedická klinika Fakulty zdravotnických studií Univerzity J. E. Purkyně v Ústí nad Labem a Krajské zdravotní, a.s. – Masarykovy nemocnice v Ústí nad Labem, o.z.
2 Dětská klinika Fakulty zdravotnických studií Univerzity J. E. Purkyně v Ústí nad Labem a Krajské zdravotní, a.s. – Masarykovy nemocnice v Ústí nad Labem, o.z.
Korespondenční adresa: tomas.novotny@kzcr.eu 

Literatura

  1. Uden H, Scharfbillig R, Causby R. The typically developing paediatric foot: how flat should it be? A systematic review. J Foot Ankle Res 2017;10:37. Published 2017 Aug 15. doi:10.1186/s13047‑017‑0218‑1.
  2. Adamec O. Plochá noha v dětském věku – diagnostika a terapie. Pediatrie pro praxi 2005;6:194–196
  3. Van Boerum DH, Sangeorzan BJ. Biomechanics and pathophysiology of flat foot. Foot Ankle Clin 2003;8:419–430. doi:10.1016/s1083‑7515(03)00084‑6
  4. Herring JA. Tachdjian‘s Pediatric Orthopaedics: From the Texas Scottish Rite Hospital for Children. 5. edition. Elsevier, 2014.
  5. Dungl P. Ortopedie. 2., přeprac. a dopl. vyd. Praha: Grada, 2014.
  6. Ueki Y, Sakuma E, Wada I. Pathology and management of flexible flat foot in children. J Orthop Sci 2019;24:9–13. doi:10.1016/j.jos.2018.09.018
  7. Mauch M, Grau S, Krauss I, et al. Foot morphology of normal, underweight and overweight children. Int J Obes (Lond) 2008;32:1068–1075. doi:10.1038/ijo.2008.52
  8. Chang JH, Wang SH, Kuo CL, et al. Prevalence of flexible flatfoot in Taiwanese school‑aged children in relation to obesity, gender, and age. Eur J Pediatr 2010;169:447–452. doi:10.1007/s00431‑009‑1050‑9
  9. Banwell HA, Paris ME, Mackintosh S, Williams CM. Paediatric flexible flat foot: how are we measuring it and are we getting it right? A systematic review. J Foot Ankle Res 2018;11:21. Published 2018 May 30. doi:10.1186/s13047‑018‑0264‑3
  10. Whitman R. The classic: a study of the weak foot, with reference to its causes, its diagnosis, and its cure; with an analysis of a thousand cases of so‑called flat‑foot. 1896. Clin Orthop Relat Res 2010;468:925–939. doi:10.1007/s11999‑009‑1130‑1
  11. Teyssler P, Havlas V. Paediatric flat foot. Pediatrie pro praxi [online] 2017;18:18–21 [cit. 2023‑07‑07]. doi:10.36290/ped.2017.004
  12. Filardi V. Flatfoot and normal foot a comparative analysis of the stress shielding [published correction appears in J Orthop 2020;24:293]. J Orthop 2018;15:820–825. Published 2018 Aug 16. doi:10.1016/j.jor.2018.08.002
  13. Koo J, Hwang S, Han SH, et al. Deep learning‑based tool affects reproducibility of pes planus radiographic assessment [published correction appears in Sci Rep 2022;12:15169]. Sci Rep 2022;12:12891. Published 2022 Jul 28. doi:10.1038/s41598‑022‑16995‑6
  14. Hollander K, de Villiers JE, Sehner S, et al. Growing‑up (habitually) barefoot influences the development of foot and arch morphology in children and adolescents. Sci Rep 2017;7:8079. Published 2017 Aug 14. doi:10.1038/s41598‑017‑07868‑4
  15. Turner C, Gardiner MD, Midgley A, Stefanis A. A guide to the management of paediatric pes planus. Aust J Gen Pract 2020;49:245–249. doi:10.31128/AJGP‑09‑19‑5089
  16. Hullumani VS, Chippala P. Effects of barefoot walking on the flat foot in school going children: A Randomised control trial. Int J Res Pharm Sci 2020;11:1805–1812. 10.26452/ijrps.v11iSPL4.4382.
  17. Brijwasi T, Borkar P. A comprehensive exercise program improves foot alignment in people with flexible flat foot: a randomised trial. J Physiother 2023;69:42–46. doi:10.1016/j.jphys.2022.11.011
  18. Hara S, Kitano M, Kudo S. The effects of short foot exercises to treat flat foot deformity: A systematic review. J Back Musculoskelet Rehabil 2023;36:21–33. doi:10.3233/BMR‑210374
  19. Evans AM, Rome K, Carroll M, Hawke F. Foot orthoses for treating paediatric flat feet. Cochrane Database Syst Rev 2022;1:CD006311. Published 2022 Jan 26. doi:10.1002/14651858.CD006311.pub4
  20. Volpon JB, Natale LL. Critical evaluation of the surgical techniques to correct the equinus deformity. Avaliação crítica das técnicas cirúrgicas de correção do equino. Rev Col Bras Cir 2019;46:e2054. doi:10.1590/0100‑6991e‑20192054
  21. Schinca N, Lasalle A, Alvarez J. Young‘s procedure for the treatment of valgus flatfoot deformity caused by a posterior tibial tendon dysfunction, stage II. Foot Ankle Clin 2012;17:227–245. doi:10.1016/j.fcl.2012.02.002
  22. Evans D. Calcaneo‑valgus deformity. J Bone Joint Surg Br 1975;57:270–278.
  23. DeYoe BE, Wood J. The Evans calcaneal osteotomy. Clin Podiatr Med Surg 2005;22:265–vi. doi:10.1016/j.cpm.2004.10.002
  24. Wu J, Liu H, Xu C. Biomechanical Effects of Graft Shape for the Evans Lateral Column Lengthening Procedure: A Patient‑Specific Finite Element Investigation. Foot Ankle Int 2022;43:404–413. doi:10.1177/10711007211043822
  25. Grice DS. An extra‑articular arthrodesis of the subastragalar joint for correction of paralytic flat feet in children. J Bone Joint Surg Am 1952;34 A(4):927–940.
  26. Grice DS. Further experience with extra‑articular arthrodesis of the subtalar joint. J Bone Joint Surg Am 1955;37‑A(2):246–259.
  27. Ghali A, Mhapankar A, Momtaz D, et al. Arthroereisis: Treatment of Pes Planus. Cureus 2022;14(1):e21003. Published 2022 Jan 7. doi:10.7759/cureus.21003
  28. Vogt B, Toporowski G, Gosheger G, et al. Subtalar Arthroereisis for Flexible Flatfoot in Children‑Clinical, Radiographic and Pedobarographic Outcome Comparing Three Different Methods. Children (Basel). 2021;8:359. Published 2021 Apr 30. doi:10.3390/children8050359
  29. Erard MUE, Sheean MAJ, Sangeorzan BJ. Triple Arthrodesis for Adult‑Acquired Flatfoot Deformity. Foot Ankle Orthop 2019;4:2473011419849609. doi:10.1177/2473011419849609

Sdílejte článek

Doporučené

Léčba těžkého astmatu a kazuistika

29. 10. 2025

Bronchiální astma postihuje přibližně 334 milionů lidí celosvětově, přičemž v České republice se prevalence pohybuje kolem 8 % populace. Ačkoli…