Hydrocefalus s hyperdynamickým tokem likvoru u mladé pacientky
Hydrocefalus je onemocnění, které je tradičně charakterizováno aktivní distenzí komorového systému danou neadekvátním průtokem likvoru z místa produkce do oblasti jeho vstřebávání. Tedy nerovnováhou mezi tvorbou a vstřebáváním mozkomíšního moku. Tím dochází k přetlaku likvoru, dilataci komorového systému, útlaku periventrikulárních struktur a v extrémním případě, v důsledku neroztažitelnosti neurokrania, ke smrti pacienta.1 Již v roce 1913 Walter Dandy, jeden z pionýrů neurochirurgie, rozdělil hydrocefalus dle jeho patofyziologie na typ komunikující a nekomunikující.2 Tím postihl dva nejčastější patofyziologické mechanismy. U komunikujícího hydrocefalu jsou volně průchodné mozkové komory a problémem je vstřebávání likvoru do žilní krve, u nekomunikujícího je pak přítomna morfologická obstrukce v rámci mozkových komor. Toto rozdělení postačuje k základnímu pochopení vzniku hydrocefalu. Ukazuje se však, že hydrocefalus je velice různorodou jednotkou, která ne vždy zapadá do uvedeného schématu. Již víme, že v dilatovaném komorovém systému může být tlak likvoru v normě – normotenzní hydrocefalus3, či dokonce subatmosférický – nízkotlaký hydrocefalus4. Též obstrukce v likvorových cestách nemusí být vždy morfologická, ale může být i funkční. V předložené kazuistice představujeme jeden takový typ komplikovaného hydrocefalu, v jehož léčbě byla použita celá škála diagnostických a léčebných metod.
Kazuistika

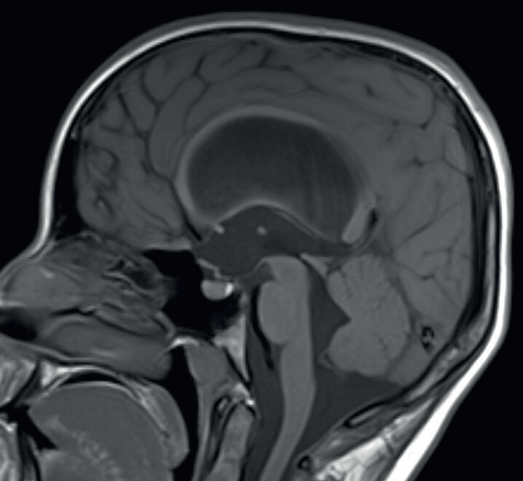
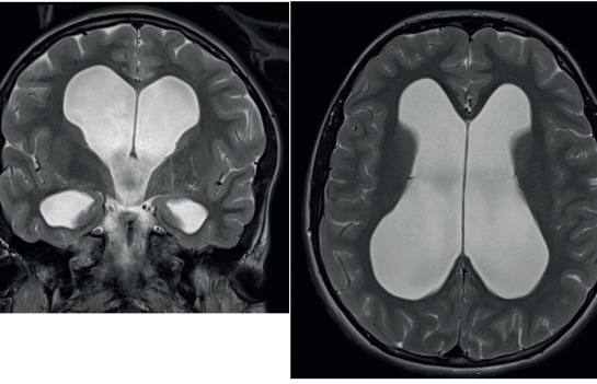
V naší kazuistice hraje ústřední roli patnáctiletá dívka, která byla sledována dětskou neuroložkou pro měsíce trvající silné bolesti hlavy. Tyto byly lokalizovány do oboustranných spánkových oblastí bez návaznosti na specifické činnosti, polohu či jiné faktory. Bolesti byly přítomny denně, dívka často vynechávala ve škole, kde se i beztak její prospěch horšil kvůli poruše pozornosti a paměti. Ošetřující neuroložka indikovala magnetickou rezonanci (MR) mozku, kde byla nalezena dilatace komorového systému (obr. 1). S tímto byla pacientka přijata do naší péče. V anamnéze nebyly vystopovány žádné rizikové faktory pro vznik hydrocefalu – perinatální anamnéza byla negativní, pacientka neprodělala žádný neuroinfekt či úraz hlavy. Na MR mozku byla viditelná výrazná dilatace komorového systému, zejména supratentoriálně, nicméně ani IV. komora nebyla fyziologické šíře. Dále bylo nápadné zúžení vtokové části aquaeductus mesencephali s velmi výrazným tokovým artefaktem na PSIF, tedy sekvenci určené k detekci toku likvoru (obr. 2), obraz zúžení mokovodu s hyperdynamickým tokem likvoru. To podporoval i výrazný bowing III. komory, tedy vyboulení III. komory a vyhlazování jejích výklenků, turecké sedlo však nebylo zvětšeno ani nikterak destruováno (obr. 3). Po příjmu pacientky byla provedena optická koherentní tomografie (OCT) zrakového nervu, která edém terče zrakového nervu neprokázala. Vzhledem k tomu, že se nejednalo o jasný obstrukční hydrocefalus, byla následně provedena lumbální punkce ke změření tlaku likvoru a odběru jeho vzorku k laboratorní analýze. Tlak byl v normě – 17 cm H20, v laboratorních vyšetřeních odchylka též nebyla nalezena. To znamená, že na MR mozku jsou jasné známky hydrocefalu, ale jak nález na očním pozadí, tak i lumbální punkce ukazují na normální tlak mozkomíšního moku. Vzhledem ke zmíněnému výraznému tokovému artefaktu likvoru přes aquaeductus mesencephali jsme se zaměřili na tento fenomén. Provedli jsme MR mozku metodou fázového kontrastu (Phase‑Contrast MRI, PC‑MRI), která umožňuje tokové parametry likvoru kvantifikovat. Opravdu se potvrdilo, že tok likvoru je hyperdynamický, maximální systolická rychlost byla 11,7 cm/s (obr. 4). Byla tedy vyslovena hypotéza, že se jedná o stenózu mokovodu a pacientce, a vzhledem k věku samozřejmě i rodině, byla navržena endoskopická stomie III. komory (ETV). Vzhledem k absenci mechanické obstrukce mokovodu při současně vysokých systolických rychlostech průtoku likvoru přes mokovod byla vyslovena hypotéza, že se jedná o funkční stenózu mokovodu. S přihlédnutím k věku pacientky byly ona i její rodina seznámeny s možností miniinvazivního výkonu ve smyslu endoskopické stomie III. komory (ETV). Rodina byla však k operaci rezervovaná, proto jsme nabídli tehdy novou diagnostickou metodu – miniinvazivní přímé měření intrakraniálního tlaku (ICP) čidlem s telemetrickým přenosem naměřených hodnot (Raumedic Neurovent‑P‑telâ). Hlavní výhodou této metody je možnost kontinuálního měření ICP i v domácím prostředí až po dobu 90 dnů. Implantace čidla byla provedena bez komplikace a pacientka byla edukována o způsobu monitorace ICP, zejména vedení deníku činností a bolestí hlavy. Po třítýdenním měření byla data analyzována a porovnána s deníkem. Byl nalezen jasný korelát mezi silnou cefaleou a hroty ICP až k hodnotám 30 mm Hg. Zvláště nápadné byly křivky během noci, kdy krátce po elevaci ICP byla pacientka bolestmi hlavy opakovaně vzbuzena. Po předložení výsledků této metody pacientka i rodina souhlasily s provedením ETV. Zákrok byl proveden bez komplikace, průchodnost stomie byla verifikována pooperačním vyšetřením pomocí MR mozku (obr. 5). Pooperačně se však symptomy pouze zmírnily a po pěti týdnech nastala kompletní recidiva obtíží. Byla vyslovena suspekce na okluzi stomie, nicméně kontrolní MR mozku toto nepotvrdila. Další postup mohl mít dva scénáře. První by znamenal připustit, že pacientčiny nespecifické symptomy nebyly dány porušenou likvorodynamikou a naše rozvaha byla chybná. Druhý by znamenal setrvání v našem předpokladu, že obtíže jsou spojeny s likvorodynamickými poměry, nicméně ETV nepostačovala k odvedení dostatečného objemu likvoru při jeho pulzatilním toku. Jedinou další léčebnou metodou by v tom případě bylo zavedení ventrikuloperitoneálního (VP) shuntu. Což je však další invazivní výkon, proto jsme uvažovali o další diagnostické metodě – lumbální drenáži. Jedná se ve své podstatě o simulaci zavedeného shuntu dočasnou drenáží likvoru ze spinálního subarachnoidálního prostoru. Po domluvě s pacientkou a rodinou byla lumbální drenáž zavedena a ponechána tři dny s celkovým objemem odvedeného likvoru 500 ml. Po celou dobu drenáže byla pacientka zcela bez bolestí hlavy. Test byl tedy pozitivní. Po vytažení drenáže se bolesti vrátily do dvou dnů. Nyní jsme s větší jistotou mohli indikovat zavedení VP shuntu. Protože jsme předpokládali, že nastavení ventilu shuntu nebude u takto komplexního typu hydrocefalu jednoduché, zavedli jsme typ ventilu, který umožní regulaci tlaku separátně pro horizontální a vertikální polohu těla – Miethke proGAVâ 2.0 s iniciálním nastavením 10 cm H2O a m.Blueâ s nastavením 25 cm H2O (obr. 6). Operace proběhla bez komplikace a pacientka byla propuštěna do domácího ošetřování s tím, že případné změny nastavení ventilu budou provedeny v rámci ambulantních kontrol. Při první kontrole pacientka udávala přetrvávající bolesti hlavy, proto bylo nastavení ventilu proGAVâ 2.0 pro horizontální polohu sníženo na 5 cm H2O. Při další kontrole za dva týdny pacientka popisovala kompletní vymizení původních příznaků vleže. Popisovala však symptomy předrénování, tedy výraznou cefaleu při vertikalizaci s rychlou úlevou v horizontální poloze. Proto bylo nastavení antigravitační jednotky m.Blueâ postupně zvýšeno až na maximum, tedy 40 cm H2O. Na tomto nastavení byla nalezena rovnováha mezi potřebou nízkoodporové drenáže likvoru vleže a zamezení předrénování sifonovým mechanismem vstoje. Pacientka je nyní sledována po operaci jeden rok, je zcela bez bolestí hlavy.
Diskuse

Uvedená kazuistika představuje složitější typ hydrocefalu, u kterého musíme uplatnit celé spektrum diagnostických a léčebných metod. Abychom pochopili přínos vyšetřovacích metod a principy léčby, musíme se nejdříve zastavit u patofyziologického mechanismu tohoto konkrétního typu hydrocefalu. Jak již bylo uvedeno, hydrocefalus dělíme na typ nekomunikující a komunikující. Jednoznačná obstrukce zde nebyla identifikována, proto lze tento hydrocefalus zařadit ke komunikujícímu typu. Pomocí PC‑MRI jsme však změřili hyperdynamický tok likvoru, který ukazuje na stenózu mokovodu. O čistě komunikující hydrocefalus se tedy také nejedná. Patofyziologicky má zřejmě tento typ nejblíže hydrocefalu typu LOVA (longstanding overt ventriculomegaly in adults – dlouhotrvající zřejmá ventrikulomegalie dospělých) [5]. Ten je charakterizován funkční stenózou mokovodu, která se projeví ve vyšším věku příznaky, které jsou typické pro normotenzní hydrocefalus, tedy poruchou chůze, demencí a inkontinencí.3 V našem případě se však příznaky objevily u mladé dívky a dominovaly bolesti hlavy. Pacientka nesplňovala ani všechna Vedova klinická a radiologická kritéria, která se k LOVA vztahují – neměla makrocefalii a na MR nebylo přítomno zvětšené či destruované turecké sedlo.6 Nicméně lze předpokládat podobný patofyziologický mechanismus daný stenózou mokovodu.
Samozřejmě základní vyšetřovací metodou je neurologické vyšetření. Existují typické příznaky hydrocefalu, nicméně bolest hlavy je symptomem velice nespecifickým a jako takový příznak nevede k diagnóze. Druhým základním vyšetřením je zobrazení mozku. Jako první radiologická metoda je využívána výpočetní tomografie (CT) mozku. Jedná se ale o vyšetření zatížené rentgenovým zářením a dokáže zobrazit jen hrubé změny v anatomii komorového systému. Optimální je proto MR mozku s možností detailního zobrazení a posouzení i funkčních parametrů. U naší pacientky byl na MR na T2 váženém obraze nápadný výrazný tokový artefakt v aquaeductus mesencephali. Jeho posouzení je ale čistě subjektivní, proto byla později použita k přesné kvantifikaci tokových parametrů likvoru metoda PC‑MRI, která prokázala hyperdynamický tok likvoru. Pouhá dilatace komorového systému s nálezem hyperdynamického toku likvoru ale neznamená automaticky zvýšený intrakraniální tlak. Proto jsou důležité další zpřesňující testy, které jsou ale zatíženy jistou invazivitou. Nejméně invazivní metodou je lumbální punkce. Ta je sice u obstrukce kontraindikovaná, v našem případě však byla stenóza aquaeductus mesencephali inkompletní, bez mechanické obstrukce, proto mohla být punkce provedena. Byla primárně indikována ošetřujícím neurologem k odběru vzorku likvoru v rámci diferenciální diagnostiky. Zvýšený tlak likvoru při lumbální punkci naměřen nebyl. U tohoto typu hydrocefalu však tlak ve spinálním subarachnoidálním prostoru nemusí mít vypovídající hodnotu – ke kongesci likvoru dochází supratentoriálně. Další diagnostické metody s sebou nesou vyšší invazivitu, proto jsme vzhledem k nálezu na MR mozku navrhli ETV. Tato operace je založena na provedení stomie dna III. komory. Tím se vytvoří další odtoková cesta likvoru do subarachnoidálních prostor. Vzhledem k tomu, že jsme nemohli zaručit jistý efekt, nebylo toto rodinou akceptováno. Ke zpřesnění diagnózy jsme tedy použili implantaci čidla k přímému měření supratentoriálního tlaku Raumedic Neurovent‑P‑telâ s telemetrickým přenosem naměřených hodnot. Jedná se o čidlo implantované přímo do mozkové tkáně o délce 25 mm a šířce 1,76 mm. Postačí tedy velmi malý trepanační otvor. Čidlo je implantováno subgaleálně a kožní kryt je celistvý, nehrozí tedy infekční komplikace a měření může probíhat až 90 dnů. Při analýze dat jsme zjistili korelaci s nadlimitními hodnotami ICP a vyššími amplitudami pulzací s bolestmi hlavy. Poté rodina dala svolení k ETV. Endoskopický zákrok byl proveden bez komplikace. Pro tyto jednoduché ventrikulostomie využíváme PaediScopeâ. Jeho výhodou je tenký průměr (3 mm) a riziko operace se tak minimalizuje. Provedený výkon však nevedl ke zmírnění příznaků. Naše hypotéza tohoto neúspěchu byla, že zúžení mokovodu nebylo jen morfologické, ale i funkční – dané vyšší pulzní amplitudou likvoru. Mokovod byl tak příliš úzký pro odvedení systolických vln likvoru a ani stomie ve III. komoře k dostatečnému odtoku likvoru nevedla. Další možnou metodou léčby hydrocefalu je zavedení ventrikulo‑peritoneálního shuntu. Jedná se však o trvalé zavedení katétrů s rizikem infekce. Abychom měli jistotu, že bude implantace shuntu efektivní, rozhodli jsme se zavést lumbální drenáž. Ta je založena na dočasném odvedení mozkomíšního moku katétrem ze spinálního subarachnoidálního prostoru do sběrného vaku. Tím simulujeme poměry s implantovaným shuntem. U tohoto typu hydrocefalu jsou sice důležité likvorodynamické poměry supratentoriálně, ale lze předpokládat, že dlouhodobá drenáž spinálního kompartmentu vede ke snížení tlaku a pulzací likvoru i intrakraniálně. Po dobu drenáže byla pacientka opravdu bez příznaků a mohli jsme tedy s vyšší mírou jistoty implantovat shunt (obr. 7). Pro regulaci tlaku jsme použili kombinaci ventilů Miethke proGAVâ 2.0 a Miethke m.Blueâ. Tato sestava ventilů umožňuje regulovat tlak likvoru odděleně pro horizontální a vertikální polohu těla. U tohoto typu hydrocefalu je totiž důležité, aby byly pulzní vlny likvoru drénovány katétrem s nízkou rezistencí. K tomu je zapotřebí nastavení systému na nízkou hodnotu. To by samo o sobě vedlo ve vertikální poloze k předrénování. Proto byl implantován i ventil k regulaci tlaku při vertikalizaci. Aby vymizely příznaky předrénování, musel být nastaven na maximální hodnotu. Bez této možnosti by musel být k zamezení předrénování nastaven vyšší tlak i pro horizontálu, a i tato léčebná metoda by selhala.
Závěr
Uvedená kazuistika demonstruje komplexní přístup v diagnostice a léčbě některých typů hydrocefalu. Zároveň tento příklad dokládá, že hydrocefalus disponuje širokou diverzitou a že se mohou vyskytnout případy, které zcela nesplňují diagnostická kritéria a definice žádné z diagnóz hydrocefalu zavedených v současné době. Určení patofyziologie a adekvátní léčby hydrocefalu může být složité. Zásadní je dostupnost a správná indikace zobrazovacích vyšetření, invazivních metod a všech modalit léčby. Proto je nutná péče o tyto pacienty v centrech, která se touto problematikou dlouhodobě zabývají.
MUDr. Tomáš Radovnický, MUDr. Karel Pištěk, prof. MUDr. Martin Sameš, CSc.
Neurochirurgická klinika Fakulty zdravotnických studií Univerzity J. E. Purkyně a Masarykovy nemocnice v Ústí nad Labem, o.z., Krajská zdravotní, a.s.
Korespondenční adresa: martin.sames@kzcr.eu
Literatura
- Rekate HL. A contemporary definition and classification of hydrocephalus. Semin Pediatr Neurol 2009;16:9–15.
- Dandy WE, Blackfan KD. An Experimental and clinical study of internal hydrocephalus. J Am Med Assoc 1913;61:2216–2217.
- Adams RD, Fisher CM, Hakim S, et al. Symptomatic occult hydrocephalus with „normal“ cerebrospinal‑fluid pressure. A treatable syndrome. N Engl J Med 1965;273:117–126.
- Pang D, Altschuler E. Low‑pressure hydrocephalic state and viscoelastic alterations in the brain. Neurosurgery 1994;35:643–655; discussion 655–656.
- Oi S, Sato O, Matsumoto S. Neurological and medico‑social problems of spina bifida patients in adolescence and adulthood. Childs Nerv Syst 1996;12:181–187. doi:10.1007/BF00301248
- Ved R, Leach P, Patel C. Surgical treatment of long‑standing overt ventriculomegaly in adults (LOVA). Acta Neurochir 2017;159:71–79.