Kazuistika: Světlobuněčný karcinom ledviny v primární péči
Kazuistika
Popisujeme případ 56leté dosud zdravé ženy s anamnézou covidu‑19 prodělaného před sedmi měsíci, stavu po cholecystektomii pro cholecystolitiázu před 10 lety. V květnu 2022 navštěvuje ordinaci všeobecného praktického lékaře pro dva dny trvající dysurie bez bolesti v bedrech, zvýšenou teplotu těla neměla. Fyzikální vyšetření s fyziologickým nálezem, břicho palpačně měkké, nebolestivé, volně prohmatné, bez hmatné rezistence, bez známek náhlé příhody břišní, Israeliho hmat negativní, C‑reaktivní protein (CRP) stanovený metodou POCT (Point‑of‑Care Testing) 80 mg/l, glykemie POCT 10,8 mmol/mol, moč chemicky – leukocyty ++, antigenní test RT‑SARS‑CoV‑2 negativní. Na základě provedených vyšetření byla stanovena pracovní diagnóza nekomplikované infekce močových cest, nasazena antibiotická léčba (amoxicilin 1 000 mg každých 8 h), pitný režim, prevence prochlazení, kontrola po dokončení terapie antibiotiky.
Při následné kontrole pacientka popisuje zlepšení stavu, vymizení dysurií, nadále trvání únavy, nevýkonnosti, nenálady, nesetrvalý občasný lehký tlak v levém boku. Fyzikální vyšetření s fyziologickým nálezem, břicho palpačně měkké, nebolestivé, volně prohmatné, bez hmatné rezistence, bez známek náhlé příhody břišní, Israeliho hmat negativní, CRP metodou POCT 3,2 mg/l, moč chemicky negativní. Viditelná je změna chování pacientky, vždy dokonale upravená, nalíčená žena dnes přichází do ordinace neupravená, unavená, neklidná, poposedávající na židli.
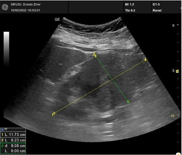
Pro přítomnost varujících příznaků, nelepšení celkového stavu pacientky, lehkou bolest v levém boku pokládáme klinickou otázku na patologii levé ledviny, jater a žlučníku. Provedené Point‑of‑Care ultrasonografické vyšetření (POCUS) jaterní krajiny a ledvin – s nálezem tří anechogenních útvarů jater charakteru cyst, žlučník nezachycen, v centrální oblasti levé ledviny útvar velikosti cca 5 cm, bez známek dilatace dutého systému (obr. 1). Stanovena pracovní diagnóza tumorózní expanze levé ledviny. Pacientka byla týž den odeslána k akutnímu urologickému vyšetření.

Obr. 1 Nález na levé ledvině u pacientky z kazuistiky zjištěný metodou POCUS (trvání vyšetření 5 minut).
POCUS – Point‑of‑Care ultrasonografické vyšetření
Na urologické spádové ambulanci bylo provedeno kompletní klinické vyšetření bez patologického nálezu, ultrazvukové vyšetření ledvin popisuje ledviny bez městnání, vpravo drobné intrasinusální cysty, vlevo centrálně tumorózní masa, cca 8 cm, prázdný močový měchýř. Byla stanovena pracovní diagnóza tumorózní expanze levé ledviny. Pacientka byla odeslána k potvrzení diagnózy na vyšetření výpočetní tomografií (CT).
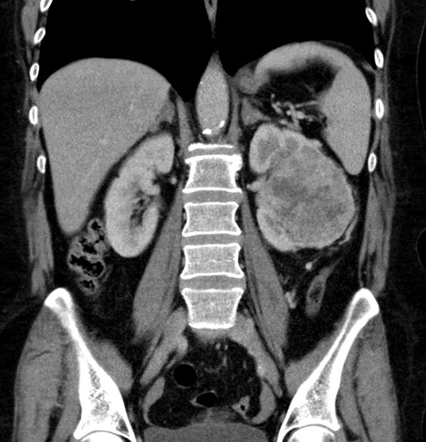
CT vyšetření ledvin provedené za sedm dní od indikace potvrdilo nález tumorózní expanze v levé ledvině. Morfologická struktura tumoru vedla k podezření na světlobuněčný renální karcinom, bez patologické lymfadenopatie. Dále byl zjištěn adenom levé nadledviny a četné cysty jater (obr. 2).

Obr. 2 Nález na levé ledvině u pacientky z kazuistiky zjištěný pomocí CT.
CT – výpočetní tomografie
Za týden pacientka podstoupila transperitoneální nefrektomii, histologické vyšetření potvrdilo podezření na světlobuněčný renální karcinom. Další léčba byla zahájena a realizována v onkologickém centru.
Diskuse
Karcinom ledviny je nejzávažnější urologické maligní onemocnění, na které umírá až 40 % nemocných.1–3 Celkem 70 % karcinomů ledvin je představováno světlobuněčným karcinomem.7 Až 70 % renálních karcinomů je diagnostikováno jako náhodný nález.4 Učebnicové příklady s bolestí v boku, hmatnou rezistencí a hematurií jsou téměř náhodné.5 Karcinom ledvin metastazuje především hematogenní cestou a asynchronní (metachronní) metastázy se mohou objevit i za 30 let po radikální nefrektomii.1,2,6 Nejčastěji postiženými orgány jsou plíce, skelet, lymfatické uzliny, játra. Prognóza karcinomu ledviny se zhoršuje s rozsahem nádoru. Diagnostika v primární péči je tedy obtížná, přestože časné zjištění karcinomu ledviny a časné směrování pacienta k adekvátní léčbě představují klíčové předpoklady úspěšné léčby.
Uvedená kazuistika ilustruje přínos POCUS v primární péči. POCUS je cílené ultrasonografické vyšetření, které u pacienta s akutním symptomem provádí ošetřující zdravotník neradiolog. Neslouží jako náhrada za klasickou diagnostickou sonografii. POCUS přináší přesnější a rychlejší směrování pacienta v systému zdravotní péče. V souladu s tím bylo u referované nemocné provedeno vyšetření POCUS cílené somatické oblasti na základě pečlivého klinického vyšetření. Předtestová pravděpodobnost pozitivního, vysvětlujícího nálezu byla tak vyšší, než je obvyklá pro necílená, či dokonce screeningová vyšetření. Přínos takovéto implementace POCUS do primární péče naznačila již řada systematických klinických studií.8–11
Závěr
Diagnostikovat karcinom ledviny v primární péči je obtížný úkol, přičemž ale časná diagnostika a časné směrování pacienta k další léčbě je klíčové. Jak ale demonstruje prezentovaná kazuistika, okamžité provedení cíleného vyšetření POCUS indikovaného na základě pečlivého klinického vyšetření přináší do primární péče možnost diagnostikovat nejenom karcinom ledviny, ale i řadu dalších onemocnění s jasným strukturálním nálezem bez zbytečného odkladu.
Literatura
- Kawaciuk I. Urologie. Praha: Galén, 2009; 342–345.
- Dvořáček J, Babjuk M a kol. Onkourologie. Praha: Galén, 2005; 25–65.
- Jemal A, Siegel R, Ward E, et al. Cancer statistics, 2006. CA Cancer Clin 2006;56:106–130. http://dx.doi.org/10.3322/canj‑clin.56.2.106.[PubMed]
- Chen DY, Uzzo RG. Evaluation and management of the renal mass. Med Clin North Am 2011;95:179–189.
- Sountoulides P, Metala L, Cindolo L. Atypical presentations and rare metastatic sites of renal cell carcinoma. J Med Case Reports 2011;5:429.
- Zuková P, Pokorný J. Pozdní metastáza světlobuněčného karcinomu ledviny do varlete. Urol praxi 2017;18:127–128.
- Kolečková M, Tichý T. Metastazující světlobuněčný renální karcinom bez zjevného primárního ložiska v ledvině imitující pokročilé stadium plicní malignity. Klin Onkol 2019;32(Suppl 1):154–156.
- Calvo‑Cebrián A, Alonso‑Roca R, Rodriguez‑Contréras FJ, et al. Usefulness of Lung Ultrasound Examinations Performed by Primary Care Physicians in Patients With Suspected COVID‑19. J Ultrasound Med 2021;40:741–750.
- Sorensen B, Hunskaar S. Point‑of‑care ultrasound in primary care: a systematic review of generalist performed point‑of‑care ultrasound in unselected populations. Ultrasound J 2019;11:31.
- Andersen CA, Holden S, Vela J, et al. Point‑of‑Care Ultrasound in General Practice: A Systematic Review. Ann Fam Med 2019;17:61–69.
- Cebrián AC, García‑Franco AL, Apellaniz JS. Point of Care Ultrasound in Primary Care. Is it a high resolution tool? Aten Primaria 2018;50:500–508.