Mozkový bypass jako prevence opakovaného iktu u vertebrobazilární insuficience
Předkládaná kazuistika by měla ukázat a zdůraznit, proč je důležité vyšetřovat pacienty s mozkovou příhodou ve vertebrobazilárním povodí. Relativně novou a efektivní vyšetřovací metodou je kvantitativní MR (magnetickorezonanční) angiografie (QMRA). Tato metoda je schopna detekovat a neinvazivně měřit tok v a. bazilaris (BA) a obou zadních mozkových tepnách (PCA). Průtok pod 120 ml/min v BA a nižší než 40 ml/min v PCA (arteria cerebri posterior) definuje „low flow“ pacienty, kteří jsou indikováni k revaskularizačnímu zákroku (endovaskulárně stentem nebo mikrochirurgicky bypassem).
Kazuistika
Muž ve věku 66 let prodělal mrtvici ve vertebrobazilárním (VB) povodí. Projevila se závratí, „zamotala se mu hlava“ a poté upadl, odřel se o koberec, viděl pokles koutku vlevo a nemohl dovřít levé oko, viděl dvojitě, a to ve všech směrech. V objektivním nálezu byly zaznamenány horizontální i vertikální nystagmus a periferní paréza lícního nervu vlevo.

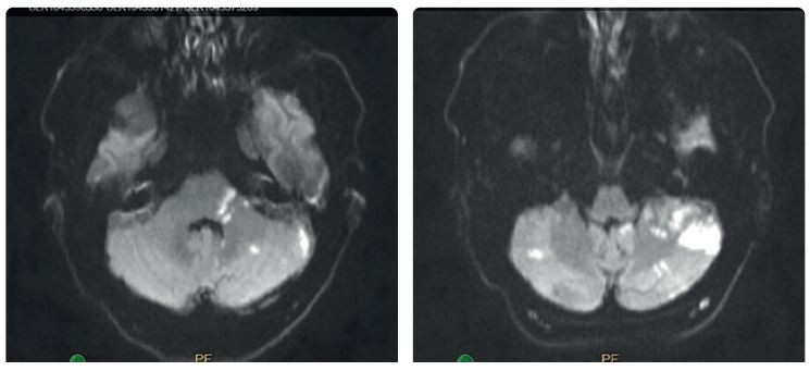
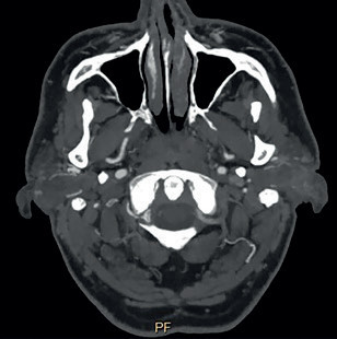
Na zobrazení MR DW (MR obraz s difuzním vážením) byly patrné čerstvé ischemické změny v dolní části levé mozečkové hemisféry v teritoriu PICA (arteria cerebelli inferior posterior) vlevo, a dále v bazi levého brachium pontis. Drobné změny jsou i v teritoriu horní mozečkové tepny vlevo a drobný okrsek restrikce MR DW v dolním okraji pravé mozečkové hemisféry v teritoriu PICA vpravo (obr. 1). Na CTA (výpočetní tomografie – angiografie) a DSA (digitální subtrakční angiografie) byl patrný uzávěr odstupu obou vertebrálních arterií (obr. 2). Zadní mozkové řečiště, tzn. bazilární tepna (BA), PCA a distální části vertebrálních tepen, se plnilo retrográdně cestou zadních komunikant (obr. 3). Retrográdní tok v levé a. vertebralis dosahoval až do extrakraniálního úseku V3 v oblasti oblouku prvního krčního obratle C1 (obr. 4). Nová vyšetřovací modalita QMRA prokázala retrográdní tok v levé zadní komunikantě 30 ml/min a sotva detekovatelný retrográdní tok v bazilární arterii 17 ml/min (obr. 5).

Ze zobrazovacích vyšetření vyplývá, že nemocný má nedostatečnou perfuzi ve VB povodí. Podle studie Veritas jde o „low flow“ pacienta s ročním rizikem opakovaného iktu 22 %.1,2 U těchto pacientů je indikován revaskularizační výkon. Endovaskulární rekanalizace chronického uzávěru vertebrálních tepen nebyla možná, proto jsme se rozhodli provést augmentaci průtoku ve VB povodí pomocí bypassu okcipitální arterie (z povodí a. carotis externa) na horizontální segment vertebrální arterie V3 vlevo. Tímto bypassem jsme plánovali posílit průtok ve vertebrální arterii bypassem z povodí karotidy, obnovit znovu antegrádní tok v bazilární tepně a normalizovat průtok ve VB povodí.

Operace byla provedena v celkové anestezii v poloze na břiše. Po odklopení kožního laloku subokcipitálně vlevo jsme vypreparovali arteria occipitalis a tuto jsme mikrotechnikou „end‑to side“ našili na vertebrální arterii vlevo na oblouku obratle C1 těsně před vstupem do tvrdé pleny (obr. 6, 7). Po sutuře jsme ověřili průchodnost bypassu pomocí dopplerovské ultrasonografie a intraoperační angiografií v operačním mikroskopu po podání ICG (indocyanine green). Pacient se po operačním výkonu rychle zotavil, rána zhojena per primam.
Na kontrolním vyšetření CTA je patrný bypass z povodí arteria carotis externa cestou a. occipitalis na vertebrální arterii (obr. 8A–B). Pooperační vyšetření QMRA ukazuje obnovený antegrádní tok v levé a. vertebralis 60 ml/min, antegrádní tok v a. bazilaris a fyziologický průtok v PCA. Pacient dochází na pravidelné ambulantní kontroly, jeho stav je stabilizovaný, v neurologickém obraze přetrvává jádrová paréza lícního nervu a ischemická mozková příhoda z VB povodí se neopakovala.
Diskuse
Studie VERITAS (Vertebrobasilar Flow Evaluationand Risk of Transient Ischemic Attack and Stroke)1 a spolu s ní zavedení QMRA umožnily neinvazivní vyšetřování pacientů s vertebrobazilární symptomatologií. Do studie VERITAS byli zařazeni pacienti s tranzitorní atakou nebo mrtvicí ve VB povodí, na CTA měli okluzi nebo stenózu více než 50 % na a. vertebralis a/nebo a. bazilaris. Vyšetření všech pacientů pomocí QMRA (obr. 9) umožnilo vyhodnotit rizikové pacienty a vytvořit algoritmus s doporučením léčby. Průtok na QMRA v BA méně než 120 ml/min a v PCA méně než 40 ml/min definuje pacienty s nízkým průtokem (LOW FLOW) s ročním rizikem opakované mrtvice 22 % za rok. Pacienti s normálním průtokem na QMRA mají riziko pouze 4 % za rok. U pacientů s nízkým průtokem je indikována agresivní intervenční terapie endovaskulární (stent, submaximální angioplastika) nebo neurochirurgická intervence.2 Z neurochirurgických intervencí připadá v úvahu transpozice odstupu a. vertebralis na karotidu nebo augmentace průtoku VB povodí bypassem z povodí a. carotis externa, nejčastěji větví a. occipitalis.
Kazuistika ukazuje pružnou mezioborovou spolupráci v rámci Komplexního cerebrovaskulárního centra (KCC) v Masarykově nemocnici v Ústí nad Labem – rychlá klinická diagnostika cévní mozkové příhody na neurologickém oddělení s nejnovějšími diagnostickými metodami neuroradiologickými včetně QMRA a návaznost na moderní revaskularizační zákroky, v tomto případě technická připravenost neurochirurgie k bypassu v zadním povodí.
Neurochirurgická klinika MN v Ústí nad Labem je Edukačním centrem „Class A“ WFNS Skull Base Surgery Committee a hostitelem pro Cerebral Bypass Fellowship WFNS (World Federation of Neurosurgical Societies).
Prof. MUDr. Martin Sameš CSc., doc. MUDr. Aleš Hejčl, Ph.D., MUDr. Hynek Zítek
Neurochirurgická klinika, Masarykova nemocnice, Univerzita J. E. Purkyně, Ústí nad Labem
Komplexní cerebrovaskulární centrum (KCC), Ústí nad Labem
Korespondenční adresa:
martin.sames@kzcr.eu
Literatura
- Amin‑Hanjani S, et al. Vertebrobasilar Flow Evaluation and Risk of Transient Ischaemic Attack and Stroke study (VERiTAS): rationale and design. Int J Stroke 2010;5:499–505.
- Amin‑Hanjani S, et al. Effect of hemodynamics on stroke risk in symptomatic atherosclerotic vertebrobasilar occlusive disease. JAMA Neurol 2016;73:178–185.