Přeskočit na obsah

Point‑of‑Care ultrasonografie v diagnostice AAA v primární péči

Trend implementace Point‑of‑Care ultrasonografie (POCUS) v primární péči je patrný v celé Evropě a taktéž v České republice. POCUS použitá v primární péči může přinést rychlejší diagnózu, včasné podchycení progrese nemoci a zpřesnění a zrychlení dalšího směrování pacienta. Přitom není nutné zapojení dalších zdravotnických pracovníků komplementárních specializací. V následující kazuistice představíme využití POCUS v diagnostice abdominálního aneuryzmatu břišní aorty (AAA) a vlivu na další směrování 67letého pacienta v systému zdravotní péče. Tato kazuistika ukazuje na potenciální přínos POCUS vyšetření v primární péči.

Kazuistika

Popisujeme případ 67letého muže s ana­mné­zou pětileté léčby arteriální hypertenze monoterapií inhibitory angiotenzin konvertujícího enzymu, bez průkazu mikroorgánových postižení, hyperlipidemie s léčbou statiny s cílovými hodnotami lipidogramu, kuřák přibližně 20 cigaret denně po dobu 30 let, posledních 10 let 5 cigaret denně, příležitostná konzumace alkoholu, index tělesné hmotnosti (BMI) 29 kg/m2, starobní důchodce, dříve manuálně pracující, s rodinnou anamnézou bez rizikových faktorů.

V prosinci roku 2023 muž přichází do ordinace všeobecného praktického lékaře pro hmatnou rezistenci v oblasti processus xiphoideus, kterou pozoruje několik let s postupnou progresí v posledních měsících. Kromě hmatné rezistence neudává žádné další obtíže, popírá bolesti na hrudi, dušnost, bolest břicha či zažívací obtíže, nezvracel, bez průjmu, bez dysurií.

Při příchodu do ordinace byl pacient eupnoický, s tělesnou teplotou 36,5 °C. Vizuálně lze rozlišit prominující rezistenci vlevo kaudálně od processus xiphoideus přibližně 4 × 4 cm. Kůže bez zarudnutí, bez zvýšené lokální teploty. Palpačně lehce pulzující měkký útvar, ostře ohraničený, pravidelného tvaru, nepohyblivý vůči spodině, nebolestivý. Břicho lehce nad niveau, palpačně s nezvětšenými játry, slezinou, nebolestivé, volně prohmatné, per rectum indagace nebolestivá, lehce zvětšená hladká symetrická prostata. Výsledek fyzikálního vyšetření byl jinak normální. Akce srdeční klidná, tepová frekvence 75/min, bez šelestu, dolní končetiny bez otoků, saturace arteriální krve kyslíkem 98 %, C‑reaktivní protein POCT (Point‑of‑Care Testing) 5 mg/l, D‑dimery POCT 0,1 µg/ml, EKG fyziologická křivka.

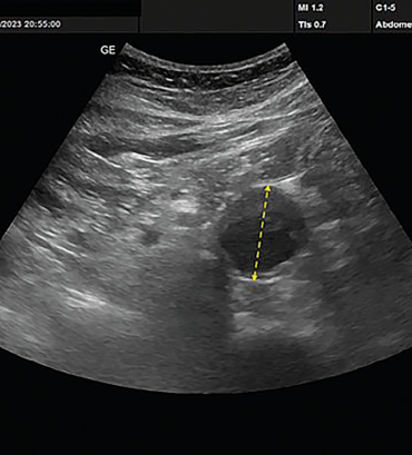
Obr. 1 POCUS nález dilatace břišní aorty (zevní – zevní kontura cévy cca 35 mm) u pacienta z kazuistiky (trvání vyšetření 4 min) POCUS – Point‑of‑Care ultrasonografiePro přítomnost varujícího příznaku pokládáme cílenou klinickou otázku na patologii břišní aorty. Provedené POCUS vyšetření břišní aorty v nejširším místě s nálezem dilatace kontury cévy 35 mm (měření zevní – zevní kontury cévy na dlouhou osu aneuryzmatu). Ilické tepny nebyly zobrazovány (obr. 1). Na základě provedených vyšetření byla stanovena pracovní diagnóza aneuryzmatu břišní aorty a pacient byl týž den odeslán, pro regionální nedostupnost kardiovaskulárního centra, k akutnímu cévnímu vyšetření k dalšímu došetření. Všechna uvedená vyšetření byla provedena v ordinaci všeobecného praktického lékaře během 20 minut. Regionálně běžná objednací doba pro tradiční ultrazvukové vyšetření břicha byla v daném období v rozmezí 4–6 týdnů, objednací doba cévního vyšetření 6–7 měsíců.

Na cévní ambulanci spádové lokální nemocnice bylo provedeno komplexní cévní vyšetření včetně ultrazvukového vyšetření břišní aorty potvrzujícího pracovní diagnózu aneuryzmatu břišní aorty. Pacient nebyl indikován k angiologickému výkonu ani k dalšímu došetřování. Další kontrola pacienta objednána za rok v cévní ambulanci.

Diskuse

Abdominální aneuryzma břišní aorty je stav charakterizovaný lokalizovaným rozšířením břišního úseku aorty (o více než 50 %, nad 3 cm). AAA se častěji vyskytuje u mužů než u žen (3–8 : 1), nejrizikovější je skupina mužů ve věku nad 65 let. AAA se obvykle vyvíjí pomalu a asymptomaticky. Klinicky se projeví až při ruptuře s hemoragickým šokem s náhlou smrtí. Přesná příčina AAA není vždy jasná, ale rizikové faktory jako věk, pohlaví, kouření, hypertenze, jiná onemocnění srdce a cév (ateroskleróza, ischemická choroba srdeční, ischemická choroba dolních končetin, …), rodinná anamnéza (vrozené choroby pojiva), infek­ční příčiny (lues) mohou zvýšit pravděpodobnost vzniku AAA. Riziko rozvoje AAA u kuřáků je pětinásobně vyšší než u nekuřáků. Toto riziko se signifikantně zvyšuje s počtem let aktivního kouření. Závažnost AAA spočívá především v nebezpečí jeho ruptury, která je život ohrožující komplikací. Úmrtnost je vysoká, dosahuje 65–94 %. Informovanost, časná diagnóza a vhodná lékařská péče jsou klíčovými faktory.1,6,7

Pro diagnostiku AAA se doporučuje ultrazvukové vyšetření kvůli výhodám jeho neinvazivnosti, přívětivosti pro uživatele a schopnosti dosáhnout jak senzitivity, tak specificity blížící se 100 %.2,3 Dostupné studie prokázaly, že screening pomocí ultrazvuku je nákladově efektivní a vykazuje vysokou reprodukovatelnost.4,5 Zatímco palpační vyšetření zkušeným lékařem má senzitivitu jen kolem 60 %.8

Systémový přehled a metaanalýza (11 studií; 946 vyšetření) porovnávaly vyšetření na detekci aneuryzmatu břišní aorty prováděná nepraktikujícími radiology pomocí ultrazvuku s vyšetřeními provedenými radiology jako referenčním standardem. Osm studií se týkalo lékařů z oddělení urgentních příjmů (celkem 718 vyšetření), jedna studie zahrnovala chirurgické rezidenty (104 vyšetření), jedna studie lékaře v primární péči (79 vyšetření) a jedna studie venkovské praktické lékaře (45 vyšetření). Většina studií probíhala v Irsku, ve Spojeném království, Austrálii a Kanadě, přičemž čtyři studie byly provedeny ve Spojených státech.9,10

Výzkumníci porovnávali všechna zjištění z ultrazvukových vyšetření s vyšetřeními provedenými radiology (používajícími ultrazvuk, výpočetní tomografii, magnetickou rezonanci nebo angiografii) a s operačními zjištěními nebo patologií, pokud byly k dispozici. Bylo zaznamenáno 193 správně diagnostikovaných pozitivit, 8 falešně pozitivních nálezů, 740 správně diagnostikovaných negativních nálezů a 5 falešně negativních výsledků. Lékaři primární péče identifikovali 6 pacientů s aneuryzmatem břišní aorty, aniž by došlo k falešně pozitivním nebo falešně negativním výsledkům. Celkově ultrazvukové vyšetření prokázalo vysokou senzitivitu a specificitu přesahující 95 %.10 Poskytovatelé ultrazvuku bez radiologického vzdělání absolvovali školení v ultrazvuku následovně: rezidenti urgentních příjmů 5 hodin až 3 dny; lékaři urgentních příjmů 4 až 24 hodin didaktického výcviku, 50 vyšetření aneuryzmatu břišní aorty a praktičtí lékaři 2 až 3 hodiny výcviku nebo 50 vyšetření aneuryzmatu břišní aorty. Informace o školení chirurgických rezidentů nebyla poskytnuta.

Evropské studie dokumentují schopnost praktických lékařů diagnostikovat aneuryzma břišní aorty pomocí ultrazvuku. Dvě prospektivní studie diagnostické přesnosti potvrdily, že ultrazvukové vyšetření provedené praktickými lékaři mělo 100% shodu s vyšetřením provedeným radiology. První studie (ve Španělsku) zahrnovala 106 mužů (ve věku od 50 let; průměrný věk 69 let) s chronickou hypertenzí nebo historií užívání tabáku. Každému praktickému lékaři bylo poskytnuto školení (doba trvání nebyla uvedena) radiologem zahrnující zkušenosti s měřením standardních průřezů aorty. Radiologové zkontrolovali všechny ultrazvukové nálezy, které identifikovaly 6 pacientů s aneuryzmatem břišní aorty (potvrzeným CT). Shoda mezi praktickým lékařem a radiology byla absolutní (kappa = 1,0; citlivost a specificita 100 %; pozitivní a negativní prediktivní hodnoty, obě 1,0).9,11

Ve druhé studii (v Dánsku) bylo porovnáno 29 ultrazvukových screeningů pro detekci aneuryzmatu břišní aorty provedených pěti praktickými lékaři s referenčním standardem ultrazvuku břicha provedeným radiology, kteří nebyli informováni o předchozích nálezech ultrazvuku. Čtyři z praktických lékařů měli certifikaci a jeden byl rezidentem v posledním roce výcviku. Všichni absolvovali třídenní kurz ultrasonografie, který zahrnoval úvodní e‑learningový kurz následovaný dvoudenním praktickým výcvikem. Praktičtí lékaři identifikovali jednoho pacienta s aneuryzmatem břišní aorty. Následná kontrola uložených smyček radiology ukázala na 100% shodu s jedním pozitivním nálezem aneuryzmatu břišní aorty a 28 negativními nálezy.9,12

Tyto studie hodnotící ultrazvuk prováděný nepraktikujícími radiology zahrnovaly malý počet praktických lékařů, avšak zjištění, že všichni účastníci (lékaři a rezidenti) byli schopni provádět ultrazvukové vyšetření s vysokou senzitivitou a specificitou při detekci aneuryzmatu břišní aorty s relativně omezeným školením, naznačuje pozitivní vyhlídky na širší využití této diagnostické metody.9,13,14

Závěr

Point‑of‑Care ultrazvukové vyšetření AAA prováděné neradiology, včetně všeobecných praktických lékařů, se ukazuje jako přesné, bezpečné, levné a rychle naučitelné. Použití ultrazvuku pro detekci aneuryzmatu břišní aorty v ordinacích všeobecných praktických lékařů má potenciál dramaticky zlepšit přístup pacientů při eventuálním zavádění populačního screeningu AAA. V České republice právě připravovaný populační program screeningu aneuryzmatu abdominální aorty se zapojením ultrazvukového vyšetření aorty v ordinacích všeobecných praktických lékařů nepočítá.

Literatura

  1. Ayraler A. Abdominal aortic aneurysm: A case report. Medicine International 2023;3: 43. https://doi.org/10.3892/mi.2023.103
  2. Mortality results for randomised controlled trial of early elective surgery or ultrasonographic surveillance for small abdominal aortic aneurysms. The UK Small Aneurysm Trial Participants. Lancet 1998;352:1649–1655. PMID: 9853436.
  3. Janelle M, Guirguis‑Blake, Beil TL, et al. Review systematic evidence review for the u. S. Preventive services task force. Ann Intern Med 2014;160:321–329. doi: 10.7326/M13‑1844
  4. Glover MJ, Kim LG, Sweeting MJ, Thompson SG, Buxton MJ. Cost‑effectiveness of the National Health Service abdominal aortic aneurysm screening programme in England. Br J Surg 2014;101;976–982. doi: 10.1002/bjs.9528
  5. Stather PW, Dattani N, Bown MJ, et al. International variations in AAA screening. Eur J Vasc Endovasc Surg 2013;45:231–234. doi: 10.1016/j.ejvs.2012.12.013
  6. Campbell WB, Collin J, Morris PJ. The mortality of abdominal aortic aneurysm. Ann R Coll Surg Engl 1986;68:275–278. PMID: 3789625; PMCID: PMC2498338.
  7. Aburahma AF, Woodruff BA, Stuart SP, et al. Early diagnosis and survival of ruptured abdominal aortic aneurysms. Am J Emerg Med 1991;9:118–121.
  8. Fink HA, Lederle FA, Roth CS, et al. The accuracy of physical examination to detect abdominal aortic aneurysm. Arch Intern Med 2000;160:833–866. doi: 10.1001/archinte.160.6.833. PMID: 10737283.
  9. Cade N. Granath B, Neher JO, Safranek S. Can family physicians accurately screen for AAA with point‑of‑care ultrasound? J Fam Pract 2021;70:304–307.
  10. Concannon E, McHugh S, Healy DA, et al. Diagnostic accuracy of non‑radiologist performed ultrasound for abdominal aortic aneurysm: systematic review and meta‑analysis. Int J Clin Pract 2014;9:1122–1129. doi: 10.1111/ijcp.12453
  11. Sisó‑Almirall A, Gilabert Solé R, Bru Saumell C, et al. Feasibility of hand‑held‑ultrasonography in the screening of abdominal aortic aneurysms and abdominal aortic atherosclerosis [article in Spanish]. Med Clin (Barc) 2013;141:417–422. doi: 10.1016/ j.medcli.2013.02.038
  12. Lindgaard K, Riisgaard L. Validation of ultrasound examinations performed by general practitioners. Scand J Prim Health Care 2017;3:256–261. doi: 10.1080/02813432.2017.1358437
  13. US Preventive Task Force. Screening for abdominal aortic aneurysm: US Preventive Services Task Force Recommendation State‑ ment. JAMA 2019;322:2211–2218. doi:10.1001/jama.2019.18928
  14. Canadian Task Force on Preventive Health Care. Recommendations on screening for abdominal aortic aneurysm in primary care. CMAJ 2017;189:E1137–E1145. doi: 10.1503/cmaj.170118

Sdílejte článek

Doporučené

Léčba těžkého astmatu a kazuistika

29. 10. 2025

Bronchiální astma postihuje přibližně 334 milionů lidí celosvětově, přičemž v České republice se prevalence pohybuje kolem 8 % populace. Ačkoli…